多摩センター駅の歯医者・歯科|多摩センター田中歯科医院
直近の初診予約可能日時Reserve
- 田中歯科医院本院
- 田中歯科医院(第二診療室)
田中歯科医院本院:
東京都多摩市鶴牧1-24-1新都市センタービル3F
田中歯科医院(第二診療室):
東京都多摩市落合1-35ライオンズプラザ多摩センター3F
- 土日診
多摩センター郵便局横 - 丁寧な審査・診断
- 専門の医師が複数在籍
-
01
多摩センター駅すぐ
土日診療
アクセス抜群で忙しい方にも通いやすい
多摩センター田中歯科医院は多摩センター駅から徒歩すぐ。平日は19時まで、土日も診療を行っており、仕事や学校で平日に通えない方も無理なく通院できます。本院・第二診療室ともに通いやすく、地域の“かかりつけ”として長く信頼される歯医者・歯科であることを大切にしています。 -
02
安心出来る
丁寧な審査・診断
当院では初診時のカウンセリングにしっかり時間を取り、お口の中の状態を写真や画像で“見える化”してご説明します。「何をされるのか分からない」不安をなくし、患者様が納得の上で治療に進めるよう心がけています。安心して通える「話せる歯科医院」を目指しています。
-
03
専門の医師が複数在籍
各治療における専門の医師が歯科用CTや10倍拡大鏡(サージテル)を活用し、肉眼では見えない病巣までしっかりと確認。根本原因を見逃さず、再発の少ない精密な治療を目指しています。患者様の大切な歯を「守る」ことにこだわる診療方針です。
お知らせNews
- お知らせ
- 症例
- 全て
コンセプトConcept
再治療のない未来を目指す、
多摩センターの総合歯科医院
多摩センター田中歯科医院は、多摩市多摩センター駅の歯医者・歯科として
すべての患者さまに「再治療のない未来」を提供することを目指しています。
私たちは、ただ痛みを取り除くだけの治療ではなく、
その原因を見極め、再発を防ぐための本質的な歯科医療を大切にしています。
「自分自身や大切な人に受けてもらいたい治療かどうか」
この視点をすべての診療の基準とし、拡大鏡やCTを活用した精密な検査と治療を行っています。
私たちが目指すのは、患者さまの人生に寄り添う“パートナー”であること。
地域の皆さまの健康と暮らしに貢献できる総合歯科医院であり続けます。
-
将来を見据えた“安心できる”選択デジタルインプラント
インプラント治療を安全かつ精密に行うため、CT画像やデジタルシミュレーションによる事前診断を徹底しています。
「骨の量・神経の位置・かみ合わせ」などを立体的に可視化することで、
不安やリスクを最小限に抑えた治療計画の立案が可能になります。
また、治療は経験豊富な歯科医師が担当し、
複数のドクターで診断・計画を共有するチーム体制を構築。
一人ひとりに合った選択肢を丁寧にご提案いたします。-
CT
シミュレーション
による安全診断 -
症例に応じた
複数の選択肢を
ご提案 -
各分野の
専門ドクターが
連携
インプラント症例1
Before
After
- 治療名
- インプラント治療
- 患者さん
- 60代 男性
- 執刀医
- 田中院長
- 治療
内容 - 今回は重度の虫歯で奥歯を喪失された患者様に対し、インプラント治療を行いました。患者様から「噛めるようになったことで、食事の楽しみが戻りました。違和感もなく自然に使えて、田中院長にお願いして本当に良かったです。」とありがたいお言葉をいただきました。
- 治療期間
- 5ヶ月
- 治療費
- 1,000,000円~
- リスク
- 治療後の清掃状態や生活習慣によっては、歯ぐきに炎症が起こり、インプラントの安定性に影響が出る場合があります(インプラント周囲炎)。
インプラント症例2
Before
After
- 治療名
- インプラント治療+セラミックの詰め物
- 患者さん
- 50代 女性
- 執刀医
- 田中院長
- 治療
内容 - 今回は前歯をインプラントで回復し、隣接する歯にはセラミック詰め物を行いました。インプラントとセラミックを組み合わせることで、噛む機能だけでなく口元全体の調和にも配慮した治療を行いました。患者様から「色や形がとても自然で、治療したことが分からないほどきれいに仕上げていただきました。人前で安心して笑えるようになり、田中院長に治療していただき、人生が変わったように感じています。」とありがたいお言葉をいただきました。
- 治療期間
- 4ヶ月
- 治療費
- 1,100,000円〜
- リスク
- 適切なメンテナンスが行われない場合、周囲の歯ぐきに炎症が起こり、インプラントの安定性に影響することがあります(インプラント周囲炎)。
セラミックは強い衝撃や歯ぎしりなどにより、欠けたり割れたりすることがあります。
-
-
健康と自然な美しさを両立する審美歯科セラミック
「ただ白くする」「ただ削ってかぶせる」審美治療ではなく、
噛み合わせや歯ぐきとの調和まで考慮した、精密なセラミック治療を行っています。
CTや拡大鏡を用いた精密な診断をもとに、見た目と機能性の両立を目指した治療設計を大切にしています。
さらに、審美補綴を得意とする歯科医師が担当し、国内技工所と密に連携。
色・形・艶・自然な透明感までこだわり、一人ひとりの笑顔にフィットする「本物の自然美」をご提供いたします。-
美しさだけでなく
噛める機能性も
重視 -
色調・形態まで
繊細に設計 -
丁寧な
カウンセリングと
設計力
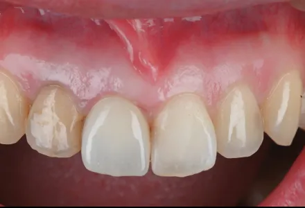
セラミック症例1
Before
After
- 治療名
- セラミックの詰め物
- 患者さん
- 30代 女性
- 執刀医
- 田中院長
- 治療
内容 - 今回は破折により形を失った右上前歯に対し、セラミックの詰め物を行いました。セラミックを被せることで見た目の自然さと機能性を回復しました。患者様から「前歯が欠けたときはとても落ち込みましたが、治療後は不安がなくなり、日常生活を明るく過ごせるようになりました。丁寧に治療してくださった田中院長に感謝しています。」とありがたいお言葉をいただきました。
- 治療期間
- 6ヶ月
- 治療費
- 800,000円〜
- リスク
- 強い力が加わると、割れたり欠けたりする可能性があります。
セラミック症例2
Before
After
- 治療名
- インプラント治療+セラミックの詰め物
- 患者さん
- 60代 男性
- 執刀医
- 田中院長
- 治療
内容 - 今回は奥歯を失われた患者様に対し、インプラント治療とセラミックの詰め物を行いました。セラミックを被せることで、噛む機能だけでなく審美面にも配慮した治療を行いました。患者様から「従来の銀歯のように目立つことがなく、白く自然な仕上がりにとても満足しています。機能面も見た目も両方改善され、田中院長に心から感謝しています。」とありがたいお言葉をいただきました。
- 治療期間
- 5ヶ月
- 治療費
- 1,000,000円~
- リスク
- 強い衝撃や歯ぎしりなどにより、欠けたり割れたりすることがあります。
-
-
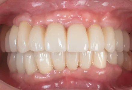
お口全体を整え、機能と見た目を回復する全顎治療
長年の虫歯や歯周病を放置してしまい、「歯がボロボロになってしまった」「どこから治療を始めればいいのか分からない」とお悩みの方も少なくありません。
噛み合わせが崩れると、噛みにくさだけでなく、顔の輪郭の変化、発音への影響、さらには顎関節への負担など、全身に悪影響が及ぶこともあります。
そこで当院では、「できるだけ抜かない」「残せる歯を守る」を基本方針とし、精密な検査と診断のもと、長期的な安定と美しさを両立させる治療計画を立案します。-
マイクロスコープ
とCTを活用した
精密診断 -
咬合・審美・機能
を融合した包括的
アプローチ -
生涯を見据えた
パーソナライズ
治療
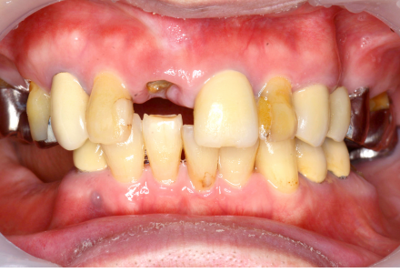
全顎治療症例1
Before
After
- 治療名
- インプラント治療
- 患者さん
- 50代 女性
- 執刀医
- 田中院長
- 治療
内容 - 今回は多数の歯を失われた患者様に対し、インプラント治療を行い、咬合と審美性を回復しました。インプラントによりしっかりと噛める機能を取り戻すと同時に、自然な見た目を再現し口元全体の調和にも配慮しました。患者様から「治療前は人前で口を開けるのも恥ずかしかったのですが、今では安心して笑えるようになりました。食事も快適に楽しめるようになり、田中院長に治療していただき、本当に人生が明るくなりました。」とありがたいお言葉をいただきました。
- 治療期間
- 12ヶ月
- 治療費
- 7,000,000円〜
- リスク
- 歯磨きやメンテナンスが十分に行われない場合、歯ぐきに炎症が起こり、インプラントの安定性に影響が出ることがあります(インプラント周囲炎)。
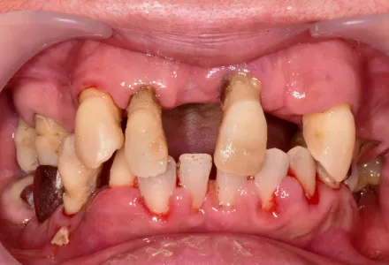
全顎治療症例2
Before
After
- 治療名
- インプラント治療+セラミックの詰め物
- 患者さん
- 70代 女性
- 執刀医
- 田中院長
- 治療
内容 - 今回はインプラント治療とセラミック詰め物を組み合わせて前歯の審美回復を行いました。歯と歯茎のラインまで自然に整えることで、機能面の改善に加えて美しい口元を実現しました。患者様から「仕上がりが非常に自然で、治療前に感じていたコンプレックスが解消されました」とのお声をいただきました。
- 治療期間
- 5ヶ月
- 治療費
- 4,500,000円〜
- リスク
- 外科処置を伴うため、術後の腫れ・痛み・内出血が生じることがあります。
また、強い力が加わると、セラミックが欠けたり割れたりする場合があります。
-
地域と連携し
患者様満足度向上の取り組み
多摩市の健康づくりに貢献する歯科医院を目指して
当院では、多摩市との地域連携を大切にしながら、皆さまにより良い歯科医療を提供できるよう努めています。
その一環として、第三者機関であるNPO法人「日本歯科医療評価機構」の協力のもと、患者さま満足度アンケートを実施しています。
この調査では、患者さまからの率直なご意見・ご感想を受け止め、院内のサービスや診療体制の改善に活かしています。
アンケートは匿名・非共有で行われますので、個人情報が医院に伝わることは一切ありません。どうぞ安心してご回答ください。
日本歯科医療評価機構について
日本歯科医療評価機構は、
「どの歯科医院が信頼できるのかわからない」「診療時間や立地だけでなく、安心して長く通える医院を選びたい」
といった声に応えるために設立された非営利の第三者評価機関です。
信頼に足る歯科医院を、厳正な評価に基づいて認定・可視化することで、
患者さまが安心して歯科医療を受けられる環境づくりを支援しています。
多摩センター田中歯科医院は今後も、多摩センターの歯医者・歯科として皆さまにとって「安心できる選択肢」であるために、信頼と満足を追求し続けてまいります。
多摩センター田中歯科医院が選ばれる6つの理由Reasons
摩センター田中歯科医院では、「自分自身が受けたい、家族に受けてほしい治療」を基準に、精密な検査と対話を通じて、患者さまの本当の悩みに応える歯科医療を行う歯医者・歯科です。
拡大鏡・CT・レーザーなどの設備だけでなく、治療方針を「見える化」してご説明し、納得して治療を受けられること、そして治療を繰り返さないことを大切にしています。
複数のドクターが在籍し、幅広い分野に対応可能で地域のかかりつけ医として、どんなお悩みにも一貫して向き合える体制を整えています。
- Reasons01
10倍拡大鏡を
全スタッフが
使用 - Reasons02
本質を診る
カウンセリング
と原因診断 - Reasons03
症例別に
強みを持つ
ドクター陣 - Reasons04
写真と映像で
わかる説明 - Reasons05
痛みや不安に
配慮した
無痛対策 - Reasons06
将来を
見据えた
予防型の提案
-
Reason01
10倍拡大鏡を全スタッフが使用
当院では、歯科医師だけでなく歯科衛生士も全員が「10倍拡大鏡(サージテル)」を使用しています。肉眼では見えない初期の虫歯や歯石、歯ぐきの炎症なども捉えることで、早期発見・精密治療・予防精度の向上を実現しています。
-
Reason02
本質を診るカウンセリングと原因診断
治療前には丁寧なカウンセリングを行い、症状の背景や生活習慣までヒアリングします。
むし歯・歯周病・噛み合わせなど、表面の問題だけでなく“なぜ起きたか”を見極める診断力が、再発を防ぐ第一歩です。 -
Reason03
症例別に強みを持つドクター陣
当院には、一般歯科・矯正・インプラント・審美など各分野に精通した歯科医師が在籍。
一つの医院であらゆる治療に対応できる「チーム医療体制」により、難症例にも対応可能です。 -
Reason04
写真と映像でわかる説明
治療前後の比較写真や、レントゲン・CT画像、口腔内カメラの映像を使用し、視覚的に理解できる説明を徹底。
「何をされるかわからない」という不安を取り除き、納得・安心の治療へ導きます。 -
Reason05
痛みや不安に配慮した無痛対策
表面麻酔、超極細針、麻酔液の温度調整、笑気麻酔など、多段階の無痛対策を実施。
治療に対する恐怖心が強い方でも、リラックスして治療に臨める環境を整えています。 -
Reason06
将来を見据えた予防型の提案
再治療を減らすためには、治療後の継続的なケアが欠かせません。
当院では歯科衛生士による専任担当制を採用し、一人ひとりに合った予防プランと生活改善アドバイスを提供しています。
医院紹介Information
田中歯科医院本院
- 医院名
- 田中歯科医院本院
- 電話番号
- 042-373-0511
- 住所
- 〒206-0034
東京都多摩市鶴牧1-24-1新都市
センタービル3F
| 診療時間 | 月 | 火 | 水 | 木 | 金 | 土 | 日 | 祝 |
|---|---|---|---|---|---|---|---|---|
| 09:00~13:00 | ● | ● | ● | ● | ● | ● | ||
| 15:00~19:00 | ● | ● | ● | ▲ | ▲ | ▲ |
▲ 14:00~18:00
田中歯科医院(第二診療室)
- 医院名
- 田中歯科医院(第二診療室)
- 電話番号
- 042-337-6480
- 住所
- 〒206-0033
東京都多摩市落合1-35
ライオンズプラザ多摩センター3F
| 診療時間 | 月 | 火 | 水 | 木 | 金 | 土 | 日 | 祝 |
|---|---|---|---|---|---|---|---|---|
| 09:00~13:00 | ● | ● | ● | ● | ● | ▲ | ||
| 15:00~19:00 | ● | ● | ● | ● | ● | ▲ |
▲ 14:00~18:00
よくある質問FAQ
症状や治療内容により異なりますが、初診時にレントゲン・口腔内写真・カウンセリングを行い、おおよその通院回数と期間を事前にご説明します。できるだけ少ない回数で効果的な治療を目指します。
はい、可能な限り応急処置や初期治療を行います。 ただし、正確な診断と治療計画が必要なケースでは、まずカウンセリングと検査を優先させていただくこともあります。
もちろん可能です。セカンドオピニオンや治療内容への不安など、お気軽にご相談ください。治療の続きも当院でご希望される場合は、紹介状がなくても対応可能です。
お口の状態は年齢・生活習慣・歯並び・唾液の性質などによって異なります。 当院では一人ひとりに合わせた予防プランを歯科衛生士が設計し、実行をサポートいたします。
10倍の拡大視野で治療できるため、虫歯の取り残しや処置のムラが格段に減少します。見えないからこそ起きる再治療を防ぐ、当院の診療の基本です。
はい、親子同時受診やキッズスペースの利用も可能です。 ベビーカーでのご来院も歓迎です。ご予約時にご相談いただければ、スタッフが対応いたします。
はい、当院では治療ごとに「どこをどう処置したか」を画像とともに説明しています。不明点が残らないように、毎回の診療後にもお声がけしています。
原則として一貫して同じドクターが担当しますが、症例によっては各分野に特化した医師に連携する場合もございます。その際は必ず事前にご説明し、同意の上で進めております。
保険診療は最低限の機能回復を目的とし、使用素材や治療工程に制限があります。 自由診療はより精度・審美性・耐久性を重視したオーダーメイド治療が可能です。両方の選択肢をご案内いたします。
はい、歯周病は糖尿病・心疾患・誤嚥性肺炎などと深く関係しているといわれています。お口を整えることは、全身の健康寿命を延ばす第一歩です。
コラムColumn
-
2026.02.24 歯科コラム仮歯の違和感は要注意?インプラント前に見逃してはいけないサイン
「仮歯だから仕方ない」と思っていませんか? インプラント治療を検討している方の中には、「今はまだ仮歯だから…」「多少の違和感は我慢するも…
-
2026.02.07 歯科コラムセラミック治療はどれくらい歯を削る?不安を感じたときの考え方
「歯を削る」と聞いた瞬間、不安になりませんか? セラミック治療に興味はあるけれど、「健康な歯を削るのが怖い」「一度削ったら元に戻らないで…
-
2026.01.26 歯科コラムインプラント治療後が不安な方へ|治療前に必ず確認すべきポイント
「インプラントって、治療後にトラブルが起きたら怖い」そう感じて、なかなか一歩を踏み出せない方は少なくありません。実際にご相談を受けている…
-
2026.01.06 歯科コラム噛めるのに疲れるのはなぜ?全顎治療が必要になる噛み合わせのサイン
「食事はできている。でも、なぜか噛むと疲れる」このような感覚を覚えたことはありませんか?硬いものが噛めないわけではない。食事中に強い痛み…
-
2025.12.29 歯科コラム高齢者のインプラント治療ガイド|年齢より大切な判断基準とは
「年齢が理由で治療を諦めていませんか?」 「もう高齢だからインプラントは無理ですよね」診療室で、このようなお声をいただくことは少なく…
-
2025.11.27 歯科コラムインプラントの寿命は何年?長く使うために知っておきたい3つのポイント
せっかく入れたインプラント、どのくらい持つの? 「インプラントは一生使えるの?」「10年くらいで交換が必要?」インプラント治療を検討され…
多摩市多摩センター駅の地域についてAbout Us
多摩市多摩センターは、東京都多摩市の中心に位置し、自然と都市機能が調和した人気のエリアです。多摩モノレール・京王線・小田急線の3路線が利用できる交通アクセスの良さに加え、駅周辺にはショッピングセンターや行政施設、文化施設が集積し、子育て世代からシニア層まで幅広く支持されています。駅から徒歩圏内には緑豊かな公園が点在し、歩道も広く整備されているため、ベビーカーや高齢者の方でも安心して通える住環境が整っています。日々の暮らしを支えるインフラが整った多摩市多摩センター駅の歯医者・歯科として地域の健康と発展を支えます。








